What is arthritis and your treatment options
DEFINITION: INFLAMMATION OF A JOINT
There are many different types of arthritis. Usually denoted by a prefix.
Osteo – arthritis
Inflammatory - arthritis
Post-traumatic – arthritis
Generally, they all tend to lead to degeneration of the joint, with loss of cartilage, variable bone loss, deformity, stiffness, swelling, and most importantly – PAIN. We commonly call this group – degenerative joint disease
What causes degenerative joint disease or arthritis of the knee?
Any process which damages the cartilage that covers the ends of the bones. There are several conditions that can lead to arthritis:
Primary or idiopathic
Where we don’t know exactly why a person develops an arthritic joint.
Usually runs in families
More common with age
Obesity increases risk assumed due to increased forces on the knees and possibly due to increased inflammation
Inflammatory arthritis
Such as rheumatoid or psoaratic arthritis
Autoimmune mediated destruction of the joint
Synovium that usually produces joint fluid and nourishes the joint, becomes inflamed, swollen and instead smothers and kills the cartilage
Post traumatic
E.g.from long standing ACL injury or fractures
Abnormal mechanics due to injury to ACL, menisci or cartilage
Crystal arthropathies
Such as gout or pseudogout
Metabolic disorder depositing inflammatory crystals in the joint
Previous infections
Bacterial and immune cell mediate destruction of the cartilage in the joint
Investigations used for diagnosis
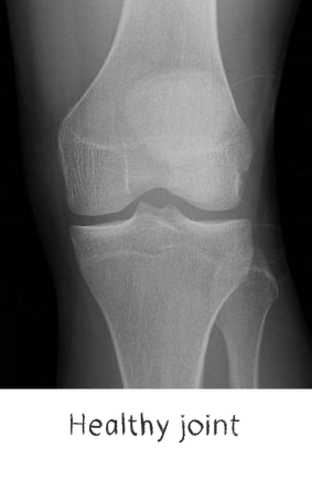
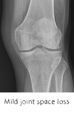
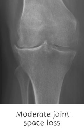
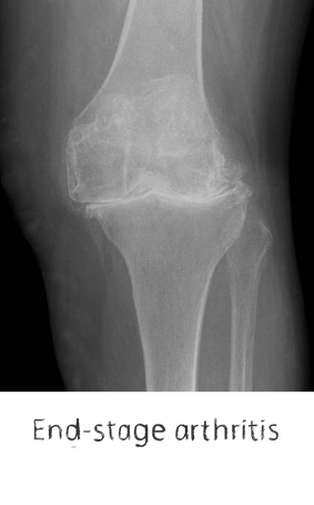
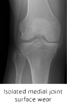
Plain film x-rays are taken to assess the joint
These are usually taken prior to your appointment. These help to confirm the diagnosis, assess the wear pattern and look for particular deformities. They can show old metalware and its position in the bone.
MRI scans for detailed joint assessment
Sometimes the history and exam may suggest a particular disease process that is not seen on X-Rays. Focal cartilage defects, meniscal pathology, synovitis are better appreciated on MR imaging.
What non-operative options are there to treat Degenerative Joint Disease of the hip or knee?
Pain relief
Paracetamol regularly throughout the day
Non-steroidal anti-inflammatory such as Ibuprofen, Naproxen, Diclofenac, Celecoxib
Physical therapy
Arthritic knees become stiff and have reduced range of motion. The quadriceps and hamstring muscles atrophy due to disuse. Physio can help improve this and improve the function of the knee
Hips become stiff and the muscles around them weak, physiotherapy aims to improve this
Weight-loss
This can’t be over-stated. Due to the mechanics of how a knee and hip joint works, losing weight above the hip/knee joint substantively reduces the forces acting on the joint and therefore the pain. It also reduces risks associated with joint replacement.
Corticosteroid injections
Corticosteroid injections into the joint can reduce pain for a up to 3 months
These are not a good, long-term solution
Useful if heading away on short holiday and need pain relief
A walking stick or crutch
Using a walking stick or crutch in the opposite hand to off load the knee joint.
Abstaining
Abstaining from tasks or activities which worsen the knee pain
There are other options offered in the private health setting:
Hyaluronic Acid Injections
Hyaluronic acid can help reduce pain, similar to corticosteroids, but is much more expensive
Platelet Rich Plasma injection
PRP has little to no evidence for its use in arthritic joints
Stem cell therapies
At present, cannot restore the damaged cartilage in the joint.
What other surgical options are there before resorting to total joint replacement?
If the knee joint is arthritic in only one of the 3 parts of the knee joint, partial knee replacement is possible, rather than replacing the whole joint.
If the arthritis affects one compartment of the knee and the patient is very young and active, we can sometimes perform osteotomies (bone cuts) and realign the joint to off-load the painful part of the knee joint.
There are very few other surgical options for hip arthritis apart from hip replacement
Which people benefit from Total Hip and Knee Replacement?
People with significant, lifestyle limiting pain from their degenerative knee joint and,
Those that have tried to manage the pain with simple oral analgesia such as Paracetamol and a Non-Steroidal Anti-inflammatory (NSAID) and,
Patients who have tried physiotherapy and weight loss (if needed) and,
Those that are willing to accept the risks associated with total joint replacement.










